ابتسامة هوليود في تركيا: احصل على ابتسامة مثالية الآن!
هل حلمت يومًا بابتسامة هوليود التي تضيء وجهك وتزيد من ثقتك بنفسك؟ في تركيا، أصبح تحقيق هذا الحلم أقرب مما تتخيل. تُعرف تركيا بأنها واحدة من الوجهات الرائدة في مجال تجميل الأسنان، حيث تجمع بين أحدث التقنيات الطبية وأفضل الأطباء المتخصصين بأسعار معقولة.
ابتسامة هوليود ليست مجرد تحسين لمظهر الأسنان، بل هي تجربة شاملة تعزز من جاذبيتك وتزيد من فرص نجاحك في الحياة الشخصية والمهنية. من تبييض الأسنان إلى تصحيح العيوب، تقدم العيادات التركية مثل هيلين كلينيكس مجموعة متنوعة من الخيارات التي تناسب احتياجاتك الفردية.
في هذا المقال،سنتعرف معًا فوائد إجراء ابتسامة هوليود في تركيا، ونكشف عن أفضل العيادات والأطباء المتخصصين، بالإضافة إلى النصائح التي ستساعدك في اتخاذ القرار الصحيح. استعد لتغيير حياتك وابدأ رحلة الابتسامة المثالية التي لطالما حلمت بها. دعنا نأخذك خطوة بخطوة نحو تحقيق هذا الحلم، لتكون ابتسامتك هي سر جاذبيتك!

ما هي ابتسامة هوليود؟
ابتسامة هوليود هي عبارة عن مجموعة من الإجراءات التجميلية المتطورة التي تهدف إلى تحقيق ابتسامة مثالية، وتعتبر رمزًا للجمال والثقة. تجمع هذه التقنية بين عدة عناصر، مثل تبييض الأسنان، وتصحيح العيوب، وتحسين الشكل العام للأسنان. من خلال استخدام القشور الخزفية (فينيرز)، يمكن إضفاء لمسة فنية على الأسنان، مما يجعلها تبدو أكثر استقامة وبياضًا.
تتميز ابتسامة هوليود بقدرتها على تغيير مظهر الشخص بشكل جذري، حيث تُستخدم لتصحيح مشكلات مثل الفراغات بين الأسنان، التباعد، أو الأسنان المكسورة. بالإضافة إلى ذلك، تتضمن الإجراءات التجميلية تقنيات مثل التقويم وزراعة الأسنان، مما يضمن تناسق الابتسامة مع ملامح الوجه.
تُعتبر ابتسامة هوليود خيارًا شائعًا بين المشاهير والأشخاص الذين يسعون لزيادة جاذبيتهم. بفضل التطورات التكنولوجية، يمكن الآن الوصول إلى هذه الابتسامة المثالية بأسعار معقولة في تركيا مع هيلين كلينيكس، مما يجعل الحلم بالابتسامة الجميلة في متناول الجميع. استعد لتجربة تحول مذهل يجعلك تشعر بالثقة والجاذبية!
تعرف علي: اسعار تلبيس الاسنان في تركيا
ما هي طرق الحصول على ابتسامة هوليود في تركيا؟
الحصول على ابتسامة هوليود في تركيا أصبح سهلًا بفضل تقدم تقنيات تجميل الأسنان وتوفر العيادات المتخصصة. تقدم تركيا مجموعة متنوعة من الإجراءات التي تهدف إلى تحسين مظهر الابتسامة وجعلها أكثر جاذبية. تتضمن هذه الطرق تقنيات متطورة وأطباء ذوي خبرة، مما يجعلها وجهة مميزة لمن يسعى للحصول على ابتسامة مثالية.
طرق الحصول على ابتسامة هوليود في تركيا:
- تبييض الأسنان.
- القشور الخزفية (فينيرز).
- التقويم الشفاف.
- زراعة الأسنان.
- تجميل اللثة.
- تركيب التيجان.
- تتوفر حلول مؤقتة مثل سناب اون سمايل.
سنقوم بشرحها بالتفصيل لاحقا.
أقرأ أيضا: شد الوجه في تركيا
كم تكلفة ابتسامة هوليود في تركيا؟
تتراوح تكلفة الحصول على ابتسامة هوليود في تركيا عمومًا بين 2,300 و5,500 دولار أمريكي، حيث يمكن أن تبدأ أسعار بعض الباقات الكاملة من حوالي 3,041 دولارًا. تعتمد التكلفة النهائية على عدة عوامل، منها عدد الأسنان التي تحتاج إلى علاج، ونوع المواد المستخدمة (مثل الزيركون أو الإي ماكس)، بالإضافة إلى خبرة الطبيب ونوع الباقة التي تختارها.
تتفاوت تكلفة ابتسامة هوليود في تركيا بناءً على عدة عوامل، منها نوع الإجراءات المطلوبة، شهرة العيادة، وموقعها. عمومًا، يمكن أن تتراوح التكلفة كما يوضحها الجدول التالي:
| الإجراء | السعر التقريبي (دولار أمريكي) |
| تبييض الأسنان | 100 - 300 |
| القشور الخزفية (فينيرز) | 200 - 600 لكل سن |
| التقويم | 500 - 1500 |
| زراعة الأسنان | 300 - 1000 لكل زرعة |
| تجميل اللثة | 200 - 800 |
تعرف علي: تجميل الأنف بالليزر
العوامل المؤثرة على سعر ابتسامة هوليود في تركيا
تتأثر تكلفة ابتسامة هوليود في تركيا بعدة عوامل رئيسية، والتي يجب أخذها في الاعتبار عند التخطيط لهذه الإجراءات. فهم هذه العوامل يساعد في تحديد السعر النهائي ويوفر رؤية أوضح لما يمكن توقعه.
- عدد الأسنان: كلما زاد عدد الأسنان التي تحتاج إلى علاج، زادت التكلفة الإجمالية. الإجراءات التي تشمل أسنانًا متعددة ستؤدي إلى ارتفاع السعر.
- نوع المواد:
- الفينير: هي قشور رقيقة تُستخدم لتغطية السطح الأمامي للأسنان، وتساعد في تحسين شكلها ولونها. تتراوح أسعار الفينير بين 200 و600 دولار لكل سن.
- الإي ماكس: نوع من السيراميك المتين والشفاف، يُستخدم لصنع قشور وأسنان صناعية. يتراوح سعره بين 250 و700 دولار لكل سن.
- الزيركون: مادة قوية وطبيعية المظهر، تستخدم في تيجان الأسنان وقشور الفينير. تبدأ أسعاره من 300 دولار وقد تصل إلى 800 دولار لكل سن.
- نوع الإجراء: تختلف الأسعار بناءً على نوع الإجراءات المطلوبة، مثل التبييض، الفينير، أو زراعة الأسنان، مما يؤثر على التكلفة النهائية.
- احتياج المريض لعلاجات سابقة: إذا كان المريض يحتاج إلى علاجات إضافية مثل تنظيف الأسنان أو علاج تسوس، فستزيد هذه الإجراءات من التكلفة الإجمالية.
- مستوى الطبيب وخبرة العيادة: الأطباء ذوو الخبرة العالية والسمعة الجيدة غالبًا ما يتقاضون أسعارًا أعلى، لكنهم عادةً ما يضمنون نتائج أفضل.
- التقنيات: استخدام التقنيات الحديثة مثل الليزر أو تصميم الابتسامة الرقمية يمكن أن يزيد من التكلفة، لكنه يؤدي إلى نتائج أكثر دقة وفعالية.
- التكاليف الإضافية: قد تشمل التكاليف الإضافية رسوم الاستشارة، الفحوصات، أو العلاجات اللاحقة، مما يجب على المريض أن يكون مستعدًا له عند تحديد الميزانية.
أقرأ أيضا: شد الرقبة في تركيا
ما الذي تشمله تكلفة ابتسامة هوليود في تركيا؟
تشمل تكلفة ابتسامة هوليود في تركيا مجموعة من العناصر التي تضمن تجربة علاجية شاملة ومريحة للمريض. عند التخطيط لهذا الإجراء، من المهم أن تكون على دراية بكل ما تتضمنه التكلفة لضمان عدم وجود مفاجآت لاحقًا، والذي يشمله سعر ابتسامة هوليود في تركيا:
- استشارة أولية: تبدأ العملية عادةً باستشارة أولية مع الطبيب، حيث يتم تقييم حالة الأسنان ومناقشة الخيارات المتاحة. قد تشمل هذه الاستشارة أيضًا فحصًا شاملاً.
- أشعة للأسنان: تُستخدم الأشعة لتحديد صحة الأسنان وتخطيط العلاج بدقة، حيث تساعد في اكتشاف أي مشكلات غير مرئية.
- تخدير موضعي: يُستخدم التخدير الموضعي خلال الإجراءات لتقليل الانزعاج والألم، مما يضمن تجربة مريحة للمريض.
- تكلفة المواد (فينير، زيركون، إلخ): تختلف تكلفة المواد المستخدمة بناءً على نوعها، مثل الفينير، الزيركون، أو الإي ماكس، وتعتبر جزءًا رئيسيًا من التكلفة الإجمالية.
- أدوية بعد الإجراء: قد يحتاج المريض إلى أدوية مسكنة أو مضادات حيوية بعد الإجراء، والتي تُضاف إلى التكاليف النهائية.
- إقامة فندقية: في حالة السفر من الخارج، قد تشمل التكلفة أيضًا الإقامة في فندق قرب العيادة، مما يسهل الوصول إلى المواعيد.
- خدمة النقل من المطار: توفر العديد من العيادات خدمات نقل من وإلى المطار، مما يُسهل على المرضى القادمين من خارج البلاد.
- مترجم/مرافق لغوي: قد يحتاج المرضى الذين لا يتحدثون اللغة المحلية إلى مترجم أو مرافق لغوي لمساعدتهم في التواصل مع الفريق الطبي وضمان فهم كامل للإجراءات.
شاهد أيضا: عمليات شفط الدهون

لمن تناسب ابتسامة هوليود في تركيا؟
تناسب ابتسامة هوليود مجموعة متنوعة من الأشخاص، ولكن هناك بعض الفئات التي قد تستفيد بشكل خاص من هذه الإجراءات. إليك من يناسبه الحصول على ابتسامة هوليود:
- تصبغات الأسنان: إذا كانت لديك بقع أو تغيرات في لون الأسنان نتيجة لعوامل مثل التدخين أو استهلاك المشروبات الملونة، فإن ابتسامة هوليود يمكن أن تساعد في تحسين مظهر أسنانك.
- أسنان غير منتظمة أو مكسورة: إذا كانت لديك أسنان مكسورة أو غير متناسقة، يمكن أن تساعد القشور الخزفية أو زراعة الأسنان في استعادة الابتسامة الطبيعية.
- فراغات بين الأسنان: يمكن لابتسامة هوليود أن تعالج الفراغات وتحسن ترتيب الأسنان، مما يعطي مظهرًا أكثر تناسقًا.
- زيادة الثقة بالنفس: إذا كنت تشعر بأن ابتسامتك تؤثر على ثقتك بنفسك، فإن تحسين مظهرها يمكن أن يكون له تأثير إيجابي كبير على حياتك الشخصية والمهنية.
- نتائج سريعة وفعالة: إذا كنت تبحث عن تحسين مظهر ابتسامتك في فترة زمنية قصيرة، فإن ابتسامة هوليود توفر نتائج فورية.
- عدم تناسق الأسنان: إذا كانت الأسنان غير متناسقة أو متفاوتة في الحجم، فإن ابتسامة هوليود يمكن أن تعيد التوازن والجمال للابتسامة.
- اعوجاج أو عدم انتظام الأسنان: الأفراد الذين يعانون من اعوجاج أو عدم انتظام الأسنان يمكن أن يستفيدوا من التقنيات التجميلية لتصحيح هذه المشكلات.
- الأسنان ذات الحواف: إذا كانت حواف الأسنان غير متساوية أو مكسورة، فإن القشور الخزفية تساعد في تحسين الشكل النهائي للأسنان.
- الرغبة في التحسين الجمالي: الأشخاص الذين يسعون لتحسين مظهر ابتسامتهم وزيادة ثقتهم بأنفسهم يمكنهم الاستفادة بشكل كبير من ابتسامة هوليود.
شاهد أيضا: تجربتي مع شد البطن مع الولادة القيصرية
التقنيات المستخدمة في ابتسامة هوليود في تركيا
تتضمن تقنيات ابتسامة هوليود مجموعة من الإجراءات المتقدمة التي تهدف إلى تحسين مظهر الأسنان بشكل شامل. تعتمد هذه الإجراءات على استخدام مواد وتقنيات حديثة لضمان الحصول على نتائج مثالية وطبيعية. من بين هذه التقنيات، تعتبر قشور الأسنان واحدة من الأكثر شيوعًا وفعالية.
1- قشور الأسنان
قشور الأسنان هي طبقات رقيقة تُلصق على السطح الأمامي للأسنان لتحسين شكلها ولونها. تُستخدم هذه القشور لتصحيح العيوب المختلفة، مثل التصبغات أو التشققات، وتمنح الابتسامة مظهرًا جذابًا. هناك أنواع متعددة من قشور الأسنان، بما في ذلك:
- الخزف (الفينير أو البورسلين):
تُعتبر قشور البورسلين من الخيارات الأكثر شعبية، حيث تتميز بجودتها العالية ومظهرها الطبيعي. تُستخدم لتغطية الأسنان غير المتناسقة أو المتصبغة، وتعتبر مثالية لتحسين الابتسامة بشكل دائم. - القشرة المركبة:
تُصنع من مادة مركبة تُستخدم بشكل شائع في عمليات تجميل الأسنان. توفر القشرة المركبة مظهرًا جماليًا جيدًا، ولكنها قد تحتاج إلى استبدال أسرع من قشور البورسلين. - قشرة اللومينير:
تُعتبر قشور اللومينير نوعًا خاصًا من القشور الخزفية، حيث تتميز بأنها أرق من الفينير التقليدي ولا تتطلب إزالة كبيرة من مينا الأسنان. توفر نتائج رائعة وتحافظ على الأسنان الأصلية. - قشرة الزركونيوم:
تُستخدم قشور الزركونيوم في حالات معينة، حيث تتميز بالقوة والمتانة، بالإضافة إلى مظهرها الطبيعي. تعتبر خيارًا مثاليًا للأشخاص الذين يحتاجون إلى حل دائم.
2- تبييض الأسنان
تبييض الأسنان هو إجراء تجميلي يهدف إلى تحسين لون الأسنان وجعلها أكثر إشراقًا. يمكن أن تتأثر الأسنان بتغير اللون نتيجة لعوامل متعددة مثل عادات الأكل، التدخين، واستخدام بعض الأدوية. تتوفر عدة طرق لتبييض الأسنان، منها الطرق المنزلية والأخرى التي تتم في عيادة الأسنان.
- تبييض الأسنان بالليزر
تبييض الأسنان بالليزر هو إجراء فعال وسريع يتم تحت إشراف طبيب الأسنان. يستخدم الليزر لتسريع عملية التبييض، حيث يتم تطبيق جل مبيض على الأسنان ثم يتم توجيه شعاع الليزر نحوها. تعمل الحرارة الناتجة عن الليزر على تنشيط المواد المبيضة، مما يؤدي إلى نتائج ملحوظة في فترة قصيرة.
- تقنية الزوم (ZOOM)
تقنية الزوم (ZOOM) هي إحدى الطرق الشائعة لتبييض الأسنان، حيث تعتمد على استخدام ضوء خاص لتفعيل جل التبييض. يتم تطبيق الجل على الأسنان، ثم يتم تسليط ضوء الزوم عليها. تُعتبر هذه التقنية فعالة جدًا وتوفر نتائج فورية، مما يجعلها خيارًا مفضلًا للعديد من الأشخاص الذين يرغبون في تحسين مظهر ابتسامتهم.
- التبييض بالضوء
التبييض بالضوء هو تقنية أخرى تركز على استخدام الضوء لتحفيز عملية التبييض. يتم استخدام ضوء خاص لتسريع تفاعل المواد المبيضة، مما يؤدي إلى نتائج سريعة وفعالة. تُعتبر هذه الطريقة آمنة، وتُستخدم في العديد من مراكز الأسنان لتوفير تجربة تبييض مريحة وسريعة للمرضى.
تُعتبر جميع هذه التقنيات فعّالة، لكن من المهم استشارة طبيب الأسنان لاختيار الطريقة المناسبة وفقًا لحالة الأسنان والصحة العامة.
3- زراعة الأسنان
زراعة الأسنان هي عملية طبية تهدف إلى تعويض الأسنان المفقودة عن طريق إدخال جذور صناعية في الفك. تعتبر زراعة الأسنان حلاً دائمًا وفعالًا، حيث تساعد في استعادة وظيفة الفم وجمال الابتسامة. تتميز هذه العملية بأنها توفر دعمًا قويًا للتاج أو التركيبة السنية، مما يعزز من قدرة المريض على المضغ والتحدث بشكل طبيعي.
- زراعة السن الواحدة أو المتعددة
زراعة السن الواحدة تتضمن إدخال زرع واحد لتعويض سن مفقود. بينما زراعة الأسنان المتعددة تعني زراعة عدد أكبر من الزرعات لتعويض عدة أسنان مفقودة. تعتبر هذه الطريقة مثالية للحالات التي تعاني من فقدان سن أو أكثر، وتساعد في الحفاظ على صحة الفك والأنسجة المحيطة.
- زراعة "All-on-2"
زراعة "All-on-2" هي تقنية تستخدم فيها زرعتان فقط لدعم مجموعة كاملة من الأسنان الصناعية في الفك. تعتبر هذه الطريقة فعالة للأشخاص الذين فقدوا جميع أسنانهم في الفك، حيث توفر استقرارًا جيدًا وتقلل من الحاجة إلى عدد كبير من الزرعات.
- زراعة "All-on-4"
زراعة "All-on-4" تعتمد على إدخال أربع زرعات فقط لدعم مجموعة كاملة من الأسنان الصناعية. يتم وضع الزرعتين الأماميتين بشكل عمودي، بينما يتم وضع الزرعتين الخلفيتين بزاوية، مما يساعد في توزيع الضغط بشكل متساوٍ. تعتبر هذه الطريقة مثالية للأشخاص الذين يعانون من فقدان كامل للأسنان، وتوفر نتائج سريعة وفعالة.
- زراعة "All-on-6"
زراعة "All-on-6" تعتمد على استخدام ست زرعات لدعم مجموعة كاملة من الأسنان الصناعية. تعتبر هذه الطريقة أكثر استقرارًا من "All-on-4"، حيث توفر دعمًا إضافيًا وتوزيعًا أفضل للضغط. تُعتبر مثالية للأشخاص الذين يحتاجون إلى دعم إضافي بسبب عدم كفاية الكثافة العظمية.
4- تيجان الأسنان
تيجان الأسنان هي أجهزة سنية تُستخدم لتغطية الأسنان التالفة أو المتضررة، بهدف استعادة شكلها وحجمها ووظيفتها. تُعتبر التيجان خيارًا شائعًا لعلاج الأسنان المكسورة، أو الأسنان التي خضعت لعلاج قناة الجذر، أو لتغطية الأسنان المزروعة. تُصنع التيجان من مواد متنوعة، مما يتيح للطبيب اختيار الخيار الأنسب وفقًا لحالة المريض واحتياجاته.
- المعادن
تيجان الأسنان المعدنية تُستخدم عادةً في الحالات التي تتطلب قوة ومتانة إضافية. تُصنع هذه التيجان من مواد مثل الذهب أو البلاتين أو الفضة، حيث توفر حماية ممتازة للأسنان وتتحمل الضغط الناتج عن المضغ. تتميز التيجان المعدنية بمظهرها المعدني، مما يجعلها أكثر ملاءمة للأسنان الخلفية التي لا تكون مرئية أثناء الابتسامة.
- الخزف (البورسلين) والسيراميك
تيجان الخزف أو السيراميك تُعتبر خيارًا جماليًا ممتازًا، حيث تحاكي لون الأسنان الطبيعية. تُستخدم هذه المواد في الحالات التي تتطلب مظهرًا جميلاً، مثل الأسنان الأمامية. تُعتبر التيجان الخزفية مثالية للأشخاص الذين يرغبون في تحسين مظهر ابتسامتهم، ولكنها قد تكون أقل قوة من التيجان المعدنية، مما يجعلها أكثر عرضة للكسر في بعض الحالات.
- المزيج بين المعدن والخزف
تيجان المصنوعة من مزيج بين المعدن والخزف تجمع بين القوة الجمالية. تحتوي هذه التيجان على قاعدة معدنية توفر الدعم والمتانة، بينما تغطيها طبقة من الخزف لتحسين المظهر. تُعتبر هذه التيجان خيارًا شائعًا، حيث توفر توازنًا جيدًا بين الجمالية والوظائف. تُستخدم عادةً في الأسنان الأمامية والخلفية على حد سواء.
تُعد تيجان الأسنان حلاً فعالًا لتعزيز صحة الأسنان واستعادة جمال الابتسامة، ويُفضل دائمًا استشارة طبيب الأسنان لتحديد النوع المناسب لكل حالة.
شاهد أيضا: تجربتي مع عملية شد البطن
5- تحديد شكل اللثة
تحديد شكل اللثة هو إجراء تجميلي يهدف إلى تحسين مظهر اللثة والابتسامة بشكل عام. يعتبر شكل اللثة جزءًا مهمًا من الجمالية السنية، حيث يمكن أن يؤثر على كيفية ظهور الأسنان عند الابتسام. في بعض الحالات، قد تكون اللثة مرتفعة جدًا أو منخفضة جدًا، مما يؤدي إلى ظهور الأسنان بشكل غير متوازن.
تتضمن تقنيات تحديد شكل اللثة عدة إجراءات، مثل:
- الليزر: يُستخدم لإزالة أو تشكيل الأنسجة اللثوية بدقة، مما يساعد في تحسين خط الابتسامة.
- الجراحة: في الحالات الأكثر تعقيدًا، يمكن أن تتطلب الجراحة تصحيح شكل اللثة.
- التقويم: في بعض الأحيان، يمكن أن يسهم التقويم في تحسين شكل اللثة عن طريق تعديل موضع الأسنان.
يساعد تحديد شكل اللثة في تحسين التوازن بين الأسنان واللثة، مما يعزز من جمالية الابتسامة ويزيد من ثقة الشخص بنفسه.
6- سناب أون سمايل
سناب أون سمايل هو حل تجميلي مبتكر يهدف إلى تحسين مظهر الابتسامة بسهولة ودون الحاجة لتدخل جراحي. يتكون من قوالب أسنان مصنوعة من مادة خزفية أو بوليمرية خفيفة، يمكن وضعها بسهولة فوق الأسنان الطبيعية. تتميز هذه القوالب بأنها مصممة خصيصًا لتناسب شكل وفم كل فرد، مما يوفر مظهرًا طبيعيًا وجماليًا.
فوائد سناب أون سمايل:
- سهولة الاستخدام: يمكن للأشخاص وضعه وإزالته بسهولة، مما يجعله خيارًا مرنًا.
- تحسين المظهر الفوري: يوفر ابتسامة جميلة على الفور، دون الحاجة إلى إجراءات معقدة.
- راحة: يعد خيارًا غير مؤلم مقارنةً بالعلاجات الأخرى.
- تنوع الخيارات: يمكن تخصيصه بألوان وأشكال مختلفة لتناسب تفضيلات المستخدم.
يعتبر سناب أون سمايل خيارًا مثاليًا للأشخاص الذين يرغبون في تحسين ابتسامتهم بسرعة وسهولة، خاصةً في المناسبات الخاصة أو الأحداث الاجتماعية.
شاهد أيضا: تكبير الثدي في تركيا
مراحل تركيب ابتسامة هوليود في تركيا
تتضمن عملية تركيب ابتسامة هوليود في تركيا عدة خطوات تمتد على عدة زيارات للعيادة خلال فترة زمنية قصيرة. تشمل هذه الخطوات استشارة الطبيب وتقييم حالة الأسنان، يليها تحضير الأسنان، والذي قد يتطلب 2-3 جلسات. يتم خلال هذه الجلسات أخذ القياسات اللازمة لصناعة القشور أو التيجان، ثم تثبيتها على الأسنان.
اليوم الأول: الوصول إلى تركيا
في اليوم الأول، يصل المريض إلى تركيا وينتقل إلى الفندق لبدء رحلة العلاج.
اليوم الثاني: الاستشارة مع طبيب الأسنان
قبل بدء عملية تركيب ابتسامة هوليود، يُنصح بإجراء لقاء مع طبيب الأسنان لمناقشة تفاصيل الإجراء والخطوات التالية.
الإجراء وتركيب الفينير
- التخدير: يبدأ الطبيب بتطبيق التخدير الموضعي لضمان راحة المريض خلال العملية.
- تحضير الأسنان: يتم إزالة جزء صغير من السطح الأمامي للأسنان عن طريق تقليل مينا الأسنان، مما يخلق مساحة لتركيب الفينير.
- صناعة الفينير: تُؤخذ عينة من الأسنان وترسل إلى المختبر لصنع الفينير، وعادة ما تكون هذه العملية سريعة.
- الأسنان المؤقتة: إذا لزم الأمر، قد يتم تركيب أسنان مؤقتة خلال فترة تصنيع الفينير.
- تثبيت الفينير: عندما تصبح الأسنان جاهزة، يقوم الفني بتنظيف الأسنان الحالية ويطبق الفينير الجديد. يتم تثبيته باستخدام إسمنت خاص يعالج بالضوء، حيث تُستخدم أشعة ضوئية لتصلب الإسمنت.
- اللمسات النهائية: بعد الانتهاء من التثبيت، يقوم الطبيب بفحص الأسنان، وإزالة أي مواد زائدة، وتلميعها. يُفضل زيارة الطبيب مرة أخرى بعد يومين لمراجعة الحالة والتأكد من نجاح العملية.

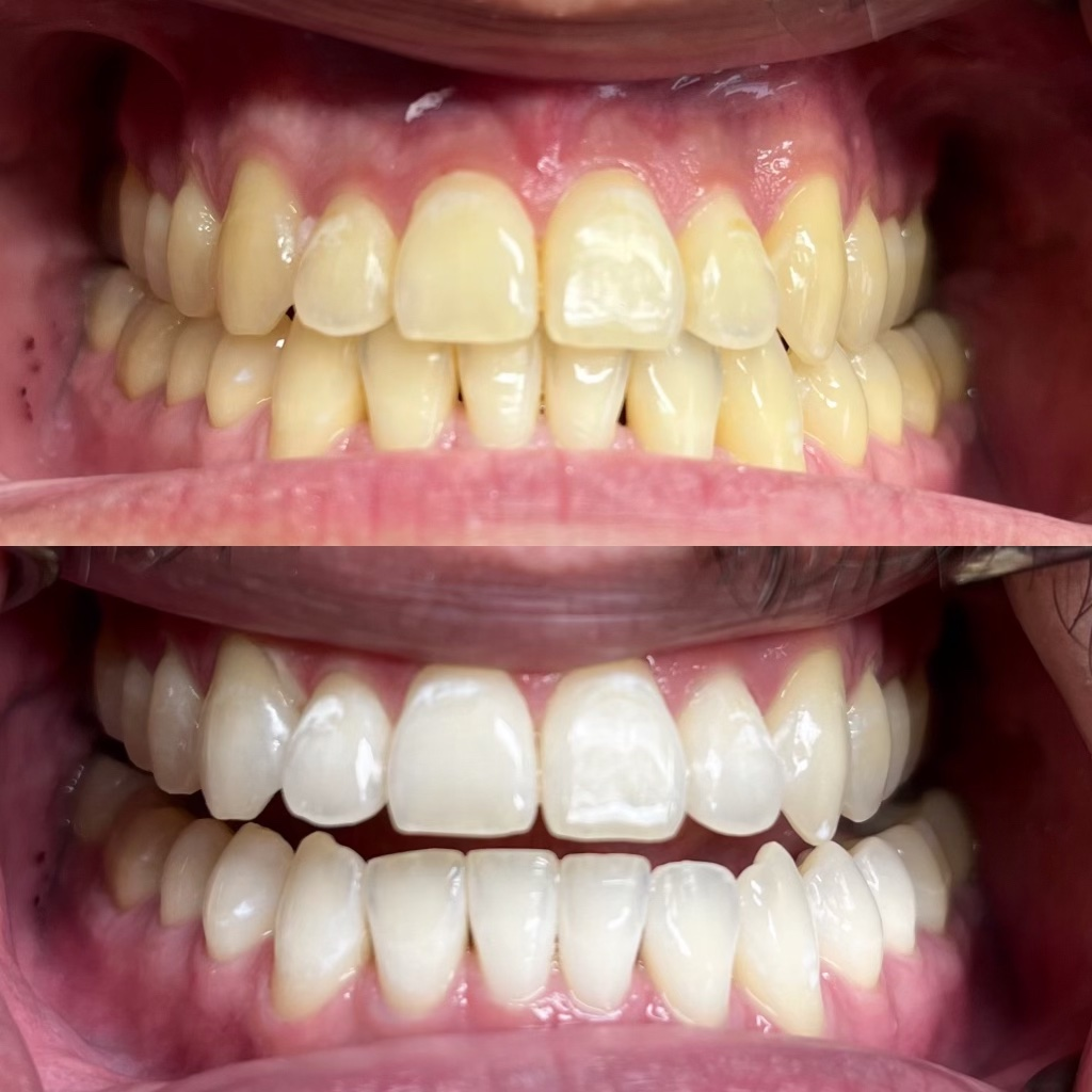
ابتسامة هوليوود في تركيا: صور قبل وبعد
تُعتبر تركيا من الوجهات الرائدة في مجال تجميل الأسنان وابتسامة هوليوود، حيث توفر تقنيات متطورة وإجراءات فعالة. تعكس الصور قبل وبعد التغييرات المذهلة التي يمكن تحقيقها من خلال عمليات تجميل الأسنان في هيلين كلينيكس، مثل الفينير، والتبييض، وتقويم الأسنان.
تظهر هذه الصور كيف يمكن لتحسين مظهر الأسنان أن يعزز الثقة بالنفس ويجعل الابتسامة أكثر جاذبية وجمالًا. يشارك العديد من المرضى تجاربهم الناجحة من خلال هذه الصور، مما يشجع الآخرين على اتخاذ خطوة نحو تحقيق حلمهم في الحصول على ابتسامة مثالية.
كم تكلف ابتسامة هوليوود في تركيا؟
تحديد تكلفة ابتسامة هوليوود في تركيا يعتمد على تقييم طبيب الأسنان خلال الاستشارة. يمكنك أيضًا الاطلاع على الجداول أدناه لمقارنة أسعار إجراءات العناية بالأسنان الأكثر شيوعًا في مختلف المدن التركية. تعتبر هذه المقارنة مفيدة للغاية للأفراد الراغبين في تحسين ابتسامتهم، حيث تساعدهم في اتخاذ قرارات مستنيرة بناءً على الخيارات المتاحة.
من المهم ملاحظة أن الأسعار قد تتفاوت بناءً على المدينة ونوع الإجراءات المطلوبة، لذا يُنصح دائمًا بالتشاور مع متخصص للحصول على تقييم دقيق.
تكلفة ابتسامة هوليوود في تركيب قشور الأسنان:
| المدينة | قشرة مركب | قشرة بورسلين |
| إسطنبول | من 50 إلى 300 دولار | 80 إلى 350 دولار |
| إزمير | 85 إلى 250 دولار | 100 إلى 220 دولار |
| أنقرة | 300 دولار | 100 إلى 250 دولار |
| أنطاليا | 120 إلى 320 دولار | 100 إلى 350 دولار |
| إسكي شهير | من 150 إلى 200 دولار | من 150 إلى 200 دولار |
أسعار زراعة الأسنان في تركيا ومقارنتها مع دول أخرى للحصول على ابتسامة هوليود:
| المدينة | "الكل على 2" | "الكل على 4" | "الكل على 6" |
| إسطنبول | 690 إلى 4500 دولار | 1780 إلى 6500 دولار | 3960 إلى 9200 دولار |
| إزمير | 550 إلى 2500 دولار | 2500 إلى 3600 دولار | 3500 إلى 14860 دولار |
| أنقرة | 1200 إلى 2500 دولار | 1900 إلى 5000 دولار | 4000 إلى 10600 دولار |
| أنطاليا | 590 إلى 4500 دولار | 1390 إلى 6950 دولار | 4500 إلى 12000 دولار |
| إسكي شهير | 2800 إلى 3950 دولار | 3200 إلى 6400 دولار | 3900 إلى 7500 دولار |
تكلفة تبييض الأسنان في تركيا ومقارنتها مع دول أخرى للحصول على ابتسامة هوليود:
| المدينة | السعر |
| إسطنبول | 170 إلى 370 دولار |
| إزمير | 150 دولار |
| أنقرة | 150 إلى 250 دولار |
| أنطاليا | 150 إلى 370 دولار |
| إسكي شهير | 100 إلى 300 دولار |
كيف تختار أفضل عيادة لإجراء ابتسامة هوليوود في تركيا؟
اختيار العيادة المناسبة لإجراء ابتسامة هوليوود في تركيا يعد خطوة مهمة لتحقيق النتائج المرجوة. مع تزايد عدد العيادات التي تقدم هذه الخدمة، يصبح من الضروري معرفة المعايير الأساسية التي يجب مراعاتها لضمان الحصول على أفضل رعاية. تتضمن هذه المعايير الخبرة الطبية، التقنيات والمواد المستخدمة، نظافة العيادة، جودة النتائج المتاحة، وأهمية الاستشارة الأولية. من خلال تقييم هذه العوامل بعناية، يمكنك اتخاذ أفضل قرار يضمن لك تجربة إيجابية ونتائج مرضية لتحسين ابتسامتك.
1. الخبرة
عند البحث عن عيادة لإجراء ابتسامة هوليوود، تأكد من أن الأطباء لديهم خبرة كافية في هذا المجال. تحقق من مؤهلاتهم وشهاداتهم، بالإضافة إلى سنوات الخبرة في إجراء عمليات تجميل الأسنان. يمكنك أيضًا الاطلاع على تقييمات المرضى السابقين.
2. التقنيات والمواد
تأكد من أن العيادة تستخدم أحدث التقنيات والمواد عالية الجودة. التقنيات المتقدمة تعزز من دقة الإجراءات وتقلل من المخاطر. تحقق من أنواع الفينير أو القشور المستخدمة وما إذا كانت مصنوعة من مواد معترف بها عالميًا.
3. النظافة
النظافة هي عنصر أساسي في أي عيادة طبية. تأكد من أن العيادة تتبع معايير صارمة للصحة والنظافة. ابحث عن التعقيم السليم للأدوات والمعدات ووجود بيئة مريحة ونظيفة.
4. النتائج
اعرض على العيادة صورًا قبل وبعد لعمليات سابقة، حيث يمكن أن تعطيك فكرة عن النتائج المحتملة. يمكنك أيضًا البحث عن تجارب المرضى السابقين على الإنترنت لمعرفة مدى رضاهم عن النتائج.
5. الاستشارة
احرص على إجراء استشارة أولية مع الطبيب قبل اتخاذ القرار النهائي. هذه الفرصة تمنحك فرصة لطرح الأسئلة، ومناقشة الخيارات المتاحة، وفهم العملية بشكل كامل. تأكد من أن الطبيب يستمع لاحتياجاتك ويساعدك في اتخاذ القرار المناسب.
أسئلة شائعة عن ابتسامة هوليود في تركيا
هل ابتسامة هوليوود جيدة للأسنان؟
نعم، يمكن أن تكون ابتسامة هوليوود مفيدة للأسنان إذا تمت تحت إشراف طبيب مختص واستخدمت مواد ذات جودة عالية. يساعد هذا الإجراء في تحسين المظهر العام ويعزز الثقة بالنفس.
كم عدد الأسنان التي يمكن ترميمها بابتسامة هوليوود؟
عادةً ما يمكن ترميم عدد يتراوح بين سن واحد إلى عدة أسنان، وذلك بناءً على احتياجات كل مريض.
إلى متى تدوم ابتسامة هوليوود؟
تستمر ابتسامة هوليوود عادةً من 5 إلى 15 سنة، وذلك يعتمد على مستوى العناية الشخصية ونوعية المواد المستخدمة في العلاج.
ما الذي يحدد سعر ابتسامة هوليوود في تركيا؟
تتأثر تكلفة ابتسامة هوليوود في تركيا بعدة عوامل، منها نوع المواد المستخدمة، عدد الأسنان المراد ترميمها، خبرة الطبيب، وموقع العيادة.
ماذا يشمل سعر ابتسامة هوليوود في تركيا؟
عادةً ما يتضمن سعر ابتسامة هوليوود تكلفة الاستشارة، الفحوصات، الإجراءات التجميلية، والأدوية اللازمة بعد العلاج.
كم سعر ابتسامة هوليوود في تركيا؟
يتراوح سعر ابتسامة هوليوود في تركيا عادةً بين 500 إلى 2000 دولار أمريكي لكل سن، وذلك وفقًا للعيادة ونوعية المواد المستخدمة.
إلغاء الرد
لن يتم نشر عنوان بريدك الإلكتروني. *