تبييض الأسنان في تركيا: احصل على ابتسامة ساحرة اليوم!
هل ترغب في الحصول على ابتسامة ساحرة تضفي لمسة من الثقة على شخصيتك؟ تبييض الأسنان في تركيا هو الخيار المثالي لك! تعتبر تركيا واحدة من الوجهات الرائدة في مجال تجميل الأسنان، حيث تجمع بين أحدث التقنيات وأساليب العلاج الفعالة، فضلاً عن الأسعار المناسبة التي تنافس الأسواق العالمية.
مع تزايد الاهتمام بالجمال والابتسامات الصحية، أصبح تبييض الأسنان ليس مجرد خيار تجميلي، بل ضرورة للكثيرين. إن وجود أسنان بيضاء ومشرقة يمكن أن يغير من انطباعات الآخرين عنك، ويعزز من فرصك في مختلف جوانب الحياة، سواء في العمل أو العلاقات الشخصية.
في هذا المقال، سنناقش كل ما تحتاج لمعرفته حول تبييض الأسنان في تركيا، بدءًا من أفضل العيادات والممارسين، وصولاً إلى الأساليب والمواد المستخدمة لضمان نتائج مذهلة. سنسلط الضوء أيضاً على التجارب الإيجابية للمرضى، مما يجعل قرارك أكثر سهولة وثقة.
كم تكلفة تبييض الأسنان في تركيا؟
إذا كنت تفكر في تبييض أسنانك، فإن تركيا تقدم مجموعة من الخيارات بأسعار معقولة. ومن تفاصيل أسعار كل نوع من أنواع التبييض:
- تكلفة تبييض الأسنان بالليزر: يعد من الخيارات الأكثر شيوعًا، وتتراوح تكاليفه بين 250 و400 دولار، مما يمنحك نتائج سريعة وفعالة.
- تكلفة تبييض الأسنان بالزوم: يبدأ سعر هذا الخيار من 400 إلى 550 دولار، ويعد مثاليًا لمن يبحثون عن نتائج مبهرة في وقت قصير.
- تكلفة التبييض الاحترافي في العيادة: تبدأ تكلفته من حوالي 150 دولار، وهو خيار جيد لمن يرغب في الحصول على نتائج مضمونة تحت إشراف طبي.
- تكلفة خيارات التبييض المنزلي: تلك التي يصفها الأطباء تتراوح تكلفتها بين 50 و150 دولار، مما يتيح لك تحقيق نتائج جيدة من راحة منزلك.
- تكلفة المنتجات المتاحة بدون وصفة طبية: مثل الشرائط والمعاجين، تتراوح أسعارها بين 10 و50 دولار، مما يجعلها خيارات مناسبة لمن يبحثون عن حلول بسيطة.
تكاليف تبييض الأسنان بالليزر في تركيا مقابل أوروبا مقابل الدول العربية
عند مقارنة أسعار تبييض الأسنان في تركيا مع الدول الأخرى، تبرز تركيا كوجهة اقتصادية مثالية:
| البلد | نطاق الأسعار (دولار أمريكي) |
| تكلفة تبييض الاسنان في تركيا | 250 - 400 دولار |
| تكلفة تبييض الاسنان في أوروبا | 500 - 1000 دولار |
| تكلفة تبييض الاسنان في الدول العربية | 300 - 800 دولار |
تظهر هذه الأرقام بوضوح كيف تقدم تركيا خدمات تبييض الأسنان بأسعار معقولة مقابل الجودة، مما يجعلها خياراً مفضلاً للكثيرين. إذا كنت تبحث عن نتائج مبهرة بأسعار معقولة، فإن تركيا هي وجهتك المثالية!
تعرف علي : ابتسامة هوليود في تركيا

العوامل المؤثرة على تكلفة تبييض الأسنان في تركيا
تعتبر تكلفة تبييض الأسنان في تركيا متغيرة وتعتمد على عدة عوامل رئيسية. لفهم هذه التكاليف بشكل أفضل، من المهم النظر في العناصر التي تؤثر على السعر النهائي. فكلما كانت لديك معلومات أوضح، كان بإمكانك اتخاذ أفضل قرار بشأن خيارات تبييض الأسنان المناسبة لك.
1- نوع التقنية
- التبييض بالليزر: يُعتبر من الطرق الأكثر فعالية وسرعة، ويميل سعره إلى أن يكون أعلى بسبب التكنولوجيا المستخدمة.
- التبييض بالزوم: تقنية أخرى شائعة، تقدم نتائج مبهرة، وعادة ما تكون تكلفتها متوسطة إلى مرتفعة.
2- نوع وتركيز مواد التبييض: المنتجات المستخدمة في عملية التبييض تلعب دورًا كبيرًا في التكلفة. المواد ذات التركيز العالي تميل إلى أن تكون أكثر تكلفة، ولكنها غالبًا ما تعطي نتائج أسرع وأكثر فعالية.
3- نوع ودرجة اصفرار وتصبغ الأسنان: إذا كانت الأسنان بحاجة إلى تبييض أكبر بسبب تصبغ شديد أو اصفرار متقدم، فقد تتطلب العملية المزيد من الجلسات أو المواد، مما يزيد من التكلفة.
4- عدد الأسنان التي تحتاج إلى التبييض: تكلفة التبييض قد تعتمد أيضًا على عدد الأسنان التي ترغب في تبييضها. إذا كانت العملية تشمل جميع الأسنان الأمامية، فقد تكون التكلفة أعلى مقارنة بتبييض عدد محدود.
5- خبرة الطبيب: تجربة الطبيب وخبرته تلعبان دورًا مهمًا في تحديد السعر. الأطباء ذوو السمعة الجيدة والخبرة الكبيرة قد يتقاضون أسعارًا أعلى مقابل خدماتهم، لكنهم يقدمون نتائج أفضل.
6- موقع العيادة: موقع العيادة يمكن أن يؤثر أيضًا على التكلفة. العيادات في المناطق الراقية أو السياحية قد تفرض أسعارًا أعلى مقارنة بتلك الموجودة في المناطق الأقل شهرة.
6- تقييمات المرضى وتجاربهم: قد تؤثر تقييمات المرضى السابقين على تكاليف بعض العيادات.
7- توافر العروض والتخفيضات: بعض العيادات تقدم عروضًا خاصة أو خصومات على خدمات تبييض الأسنان، مما قد يؤثر على التكلفة الإجمالية.
8- التقنيات الحديثة المستخدمة: استخدام أحدث وأفضل التقنيات قد يزيد من التكلفة، ولكنه غالبًا ما يوفر نتائج أفضل وأكثر أمانًا.
شاهد ايضا: اسعار تلبيس الاسنان في تركيا
ماذا يشمل سعر تبييض الأسنان في تركيا؟
عندما تفكر في تكلفة تبييض الأسنان في تركيا، من المهم أن تعرف ما الذي يتضمنه السعر. ومن العناصر الرئيسية التي يشملها سعر تبييض الأسنان:
- استشارة أولية: غالبًا ما تشمل الأسعار استشارة مع طبيب الأسنان، حيث يقوم بتقييم حالة أسنانك وتقديم توصيات حول أفضل الخيارات المتاحة لك.
- إجراء التبييض: السعر يشمل العملية الفعلية لتبييض الأسنان، سواء كانت بالليزر أو الزوم أو أي تقنية أخرى.
- مواد التبييض: تتضمن التكلفة جميع المواد المستخدمة خلال العملية، مثل الجل أو المواد الكيميائية التي تعمل على تبييض الأسنان.
- تجهيزات العيادة: يشمل السعر استخدام المعدات والأدوات الطبية اللازمة لإجراء عملية التبييض بشكل آمن ومهني.
- مراقبة النتائج: بعض العيادات تقدم متابعة بعد العملية للتأكد من أن النتائج مرضية، وهذا قد يكون مشمولًا في التكلفة.
- نصائح العناية بالأسنان: غالبًا ما يزوّد الطبيب المرضى بنصائح حول كيفية الحفاظ على النتائج وتجنب التصبغ مرة أخرى، مما يساهم في تجربة شاملة أفضل.
- خدمات إضافية: بعض العيادات قد تشمل خدمات مثل تنظيف الأسنان أو فحص شامل كجزء من سعر التبييض.
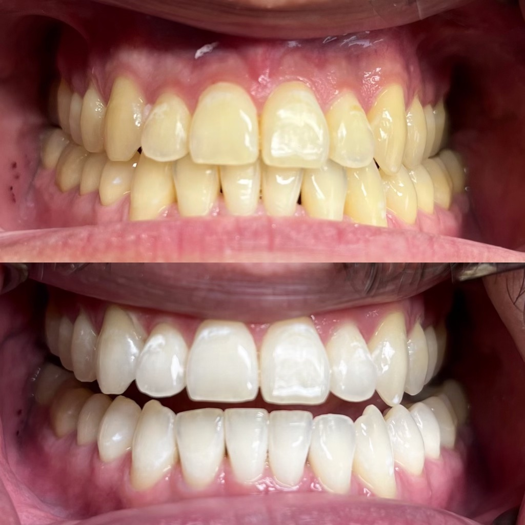
ما هو تبييض الأسنان؟
تبييض الأسنان هو إجراء تجميلي يهدف إلى تحسين لون الأسنان وجعلها أكثر إشراقًا وجاذبية. تعتمد هذه العملية على استخدام مواد خاصة تعمل على إزالة التصبغات والبقع التي قد تؤثر على مظهر الأسنان بسبب عوامل مثل التدخين، تناول الأطعمة والمشروبات الملونة، أو حتى التقدم في العمر.
يعد تبييض الأسنان خيارًا شائعًا بين الأفراد الراغبين في تعزيز ثقتهم بأنفسهم، حيث أن الابتسامة البيضاء يمكن أن تترك انطباعًا إيجابيًا لدى الآخرين. تتوفر تقنيات تبييض الأسنان في عيادات الأسنان، مثل التبييض بالليزر أو الزوم، بالإضافة إلى خيارات تبييض منزلية موصى بها من قبل الأطباء.
يتميز تبييض الأسنان بكونه إجراءً سريعًا وفعالًا، مما يسمح لك بالحصول على نتائج ملحوظة في فترة زمنية قصيرة. إذا كنت تبحث عن طريقة لتعزيز مظهرك وإضفاء لمسة من الجمال على ابتسامتك، فإن تبييض الأسنان هو الخيار المثالي لك. استعد لتجربة ابتسامة مشرقة واثقة تعكس شخصيتك!
لمن يناسب تبييض الأسنان في تركيا؟
تبييض الأسنان في تركيا هو خيار مثالي للأشخاص الذين يتمتعون بصحة فموية جيدة ولديهم أسنان طبيعية، مما يعني عدم وجود ترميمات مثل التيجان أو الحشوات الكبيرة. هذا الإجراء يهدف إلى تفتيح لون الأسنان وتصحيح التصبغات الناتجة عن العادات الغذائية، تناول الأدوية، أو حتى التقدم في العمر.
المرشحون لتبييض الأسنان يشملون:
- الأشخاص ذوو الأسنان السليمة: الذين ليس لديهم مشاكل في اللثة أو الأسنان.
- الأفراد الذين يعانون من تصبغات: نتيجة تناول الأطعمة والمشروبات الملونة.
- المدخنون: لكن يجب أن يكونوا مستعدين للصيانة الدورية، حيث أن التبغ يسبب تصبغات عنيدة.
- الأشخاص الذين لا يحملون حشوات أو تيجان في الأسنان الأمامية: لأن هذه العناصر لا تتفاعل مع مواد التبييض بنفس طريقة الأسنان الطبيعية.
- الأشخاص الذين لديهم بقع بسبب الأدوية: مثل التتراسيكلين أو بسبب التقدم في السن.
أقرأ أيضا: شد الوجه في تركيا
أما الأشخاص الذين ينبغي عليهم تجنب تبييض الأسنان فهم:
- الأشخاص الذين يعانون من أمراض اللثة أو التسوس.
- الأفراد الذين لديهم حساسية شديدة في الأسنان.
- الأشخاص الذين لديهم حشوات كبيرة، تيجان، أو فينير في الأسنان الأمامية.
- الأطفال والمراهقون دون سن الـ 16 عامًا.
- النساء الحوامل أو المرضعات.
قبل اتخاذ قرار بشأن تبييض الأسنان، من الضروري استشارة طبيب الأسنان لتحديد ما إذا كان هذا الإجراء مناسبًا لحالتك.
قد يهمك: تجميل الأنف بالليزر
لماذا تعتبر تركيا الوجهة المثالية لتبييض الأسنان؟
تُعتبر تركيا واحدة من أبرز الوجهات العالمية لتبييض الأسنان، حيث تجمع بين جودة الرعاية الطبية والأسعار المعقولة. إليك الأسباب التي تجعلها الخيار المثالي:
- أسعار معقولة: تقدم تركيا علاجات الأسنان، بما في ذلك تبييض الأسنان، بأسعار تنافسية مقارنة بالدول الأخرى. هذا ما يجعلها وجهة جذابة للباحثين عن حلول فعالة من حيث التكلفة.
- رعاية عالية الجودة: تتميز العيادات التركية بتجهيزاتها الحديثة وأطباء الأسنان ذوي الخبرة. العديد من هؤلاء الأطباء يحملون مؤهلات دولية وهم على دراية بأحدث التطورات في مجال طب الأسنان التجميلي.
- باقات شاملة: تقدم العديد من العيادات باقات متكاملة تشمل الاستشارات والعلاجات، وأحيانًا الإقامة والنقل. هذا يجعل تجربة العلاج مريحة وسلسة للمرضى الدوليين.
- السياحة العلاجية: تتيح لك تركيا الجمع بين علاج أسنانك واستكشاف معالمها السياحية. يمكنك الاستمتاع بالتاريخ الغني والمناظر الطبيعية الخلابة والثقافة النابضة بالحياة أثناء تلقي رعاية الأسنان من الدرجة الأولى.
- خطط علاج شخصية: تقدم العيادات خطط علاج مخصصة تناسب احتياجاتك الفردية، مما يضمن تحقيق نتائج مثالية وتجربة مريحة.
كل هذه العوامل تجعل من تركيا الخيار الأول لمن يسعى لتحسين ابتسامته من خلال تبييض الأسنان، مما يجمع بين الجمال والعناية الصحية في تجربة فريدة وممتعة.
أقرأ أيضا: شد الرقبة في تركيا

أحدث علاجات تبييض الأسنان في تركيا
تعتبر تركيا وجهة رائدة لتبييض الأسنان، حيث تقدم مجموعة متنوعة من العلاجات الحديثة التي تلبي احتياجات المرضى المختلفة. تتيح لك هذه العلاجات الحصول على ابتسامة مشرقة وجذابة، مما يعزز ثقتك بنفسك. تشمل الخيارات المتاحة تبييض الأسنان في العيادة، وكذلك العلاجات المنزلية. وفيما يلي سنتحدث عن التقنيات المتاحة لتبييض الأسنان:
1. أنواع تبييض الأسنان في العيادة
تتميز علاجات تبييض الأسنان في العيادة بفعاليتها وسرعتها، حيث يتم إجراء العملية تحت إشراف طبيب مختص، مما يضمن تحقيق نتائج مبهرة وبأمان.
- تبييض الأسنان بالليزر:
تعتبر تقنية تبييض الأسنان بالليزر من أكثر الطرق فعالية وسرعة. يتم استخدام جهاز ليزر خاص لتحفيز الجل المبيّض الذي يتم وضعه على الأسنان. هذه التقنية تساهم في تفتيح اللون بمعدل أكبر مقارنة بالطرق التقليدية.
العملية تستغرق عادةً حوالي ساعة، والنتائج تكون فورية. تعتمد فعالية العلاج على درجة تصبغ الأسنان وحالتها الصحية، ولكنها تعد خياراً ممتازاً للمرضى الذين يرغبون في تغيير سريع وملحوظ في ابتسامتهم. كما أن استخدام الليزر يقلل من مخاطر الحساسية، مما يجعلها مناسبة لمعظم الأشخاص.
- تبييض الأسنان بتقنية Zoom:
تُعد تقنية Zoom من أحدث وأشهر طرق تبييض الأسنان في العيادات. تعتمد هذه الطريقة على استخدام ضوء خاص لتحفيز الجل المبيّض، مما يعزز فعالية التبييض بشكل كبير. تتم العملية في عدة مراحل، حيث يتم وضع الجل على الأسنان ثم تسليط الضوء لمدة معينة.
يمكن أن تكون النتائج ملحوظة في جلسة واحدة، مما يجعلها خيارًا مثاليًا لمن يرغبون في الحصول على ابتسامة بيضاء بسرعة. تعتبر هذه التقنية آمنة وفعالة، وتناسب معظم الأشخاص، ولكن من المهم استشارة الطبيب قبل البدء.
- تبييض داخل الفم (لأسنان محددة):
تبييض داخل الفم هو إجراء يركز على أسنان محددة بدلًا من جميع الأسنان. يُستخدم عادةً للأشخاص الذين يعانون من تصبغات موضعية أو بقع على أسنان معينة. يتم استخدام جل تبييض خاص يتم وضعه مباشرةً على الأسنان المستهدفة. هذه الطريقة تتيح للمرضى الحصول على نتائج دقيقة، وتكون فعالة في تصحيح تفاوت الألوان بين الأسنان. يمكن أن تتطلب هذه التقنية عدة جلسات لضمان أفضل النتائج، وهي خيار جيد لأولئك الذين يرغبون في تحسين مظهر أسنانهم دون الحاجة لتبييض جميع الأسنان.
2. أنواع تبييض الأسنان في المنزل
تعتبر العلاجات المنزلية خيارًا مريحًا وفعالًا لتبييض الأسنان، حيث يمكن استخدامها في راحة منزلك. توفر هذه الخيارات نتائج جيدة، ولكنها عادةً ما تستغرق وقتًا أطول مقارنة بالعلاجات في العيادة.
- قوالب التبييض المنزلية:
قوالب التبييض المنزلية هي واحدة من أكثر الخيارات شيوعًا. تأتي هذه القوالب مصممة خصيصًا لتناسب شكل فمك، وغالباً ما يتم ملؤها بجل التبييض. يتم استخدامها عادةً لمدة ساعة أو أكثر يوميًا، وقد تحتاج إلى أسابيع لرؤية النتائج المرغوبة. تعتبر هذه الطريقة فعالة وآمنة، شريطة اتباع التعليمات بعناية. من مزاياها أنها تتيح لك التحكم في درجة التبييض، لكن من المهم استشارة طبيب الأسنان قبل البدء، لضمان أن تكون المناسبة لحالتك.
- شرائط التبييض:
شرائط التبييض هي منتجات مريحة وسهلة الاستخدام، حيث تحتوي على جل تبييض فعّال على جانب واحد. يتم وضع الشرائط على الأسنان وتترك لفترة محددة، عادةً تتراوح بين 30 دقيقة إلى ساعة. تعد هذه الشرائط مناسبة للذين يرغبون في تبييض أسنانهم أثناء التنقل، لكنها قد تكون أقل فعالية في حالة التصبغات الشديدة. من المهم اختيار شرائط ذات جودة عالية للحصول على أفضل النتائج.
- معاجين التبييض:
معاجين التبييض هي خيار آخر لتبييض الأسنان في المنزل، وتعمل على إزالة البقع السطحية بشكل يومي. تحتوي هذه المعاجين على مكونات خاصة تساعد في تبييض الأسنان أثناء تنظيف الفم. على الرغم من أنها لا تقدم نتائج فورية مثل العلاجات الأخرى، إلا أنها تساعد في تحسين لون الأسنان بشكل تدريجي. استخدامها المنتظم يمكن أن يساهم في الحفاظ على نتائج تبييض الأسنان، لكن يجب التأكد من أنها آمنة للاستخدام اليومي.
- جل وأقلام التبييض:
جل وأقلام التبييض توفر طريقة سهلة ومرنة لتبييض الأسنان. تأتي هذه المنتجات في شكل جل يمكن وضعه مباشرة على الأسنان أو في شكل أقلام تحتوي على جل التبييض. يتم استخدامها لفترات قصيرة، مما يجعلها مثالية للاستخدام في أي وقت. تعتبر هذه الطريقة فعالة في تبييض الأسنان وتناسب الأفراد ذوي الجدول الزمني المزدحم. مع ذلك، من المهم اتباع التعليمات واستخدامها بشكل منتظم لتحقيق أفضل النتائج.
أنواع بقع الأسنان وأيها تستجيب للتبييض؟
تُعتبر بقع الأسنان من المشكلات الشائعة التي تؤثر على مظهر الابتسامة، وتختلف أنواعها بناءً على الأسباب وراء ظهورها. ومن الأنواع الرئيسية لبقع الأسنان ومدى استجابتها للتبييض.
1. البقع السطحية (الناتجة عن الطعام والشراب)
- تظهر هذه البقع على السطح الخارجي للأسنان نتيجة تناول بعض الأطعمة والمشروبات، مثل القهوة، الشاي، والنبيذ الأحمر، بالإضافة إلى التدخين.
- تكون هذه البقع عادةً أقل عمقًا وأسهل في العلاج. غالبًا ما تستجيب البقع السطحية بشكل جيد لتقنيات التبييض المختلفة، سواء كانت في العيادة أو المنزل.
- باستخدام تقنيات مثل تبييض الأسنان بالليزر أو الشرائط المبيضة، يمكن إزالة هذه البقع وتحقيق ابتسامة أكثر إشراقًا خلال فترة زمنية قصيرة.
2. البقع الداخلية (الناتجة عن الأدوية أو الشيخوخة)
- تكون هذه البقع أكثر عمقًا، حيث تتكون نتيجة عوامل مثل استخدام أدوية معينة أو التقدم في العمر. الأدوية مثل التتراسيكلين قد تسبب تصبغات داخلية تجعل الأسنان تبدو داكنة.
- استجابة هذه البقع للتبييض تعتمد على درجة عمقها ونوع التقنية المستخدمة. في بعض الحالات، قد لا تكون تقنيات التبييض التقليدية كافية، وقد يتطلب الأمر علاجات إضافية مثل الفينير أو التاج لتحسين المظهر.
3. بقع التتراسيكلين (الناتجة عن استخدام المضادات الحيوية)
- تظهر بقع التتراسيكلين نتيجة استخدام المضادات الحيوية في مرحلة مبكرة من الحياة، حيث تؤثر على لون وعرض الأسنان.
- تعتبر هذه البقع من أكثر الأنواع صعوبة في العلاج، وقد لا تستجيب جيدًا لتقنيات التبييض التقليدية. في كثير من الحالات، يمكن أن تكون الحلول مثل الفينير أو تبييض الأسنان الاحترافي تحت إشراف طبيب الأسنان هي الخيارات الأكثر فعالية للحصول على نتائج مرضية.
مزايا وعيوب تبييض الأسنان
تبييض الأسنان هو إجراء تجميلي شائع، وله مزايا وعيوب يجب مراعاتها قبل اتخاذ القرار. إليك نظرة على الجانبين:
مزايا تبييض الأسنان
- تحسين المظهر: يمنح تبييض الأسنان ابتسامة أكثر إشراقًا وجاذبية، مما يعزز الثقة بالنفس.
- نتائج سريعة: يمكن أن توفر علاجات التبييض في العيادة نتائج ملحوظة خلال جلسة واحدة، مما يجعلها مثالية للأشخاص الذين يبحثون عن تحسين سريع لمظهرهم.
- تنوع الخيارات: تتوفر عدة تقنيات لتبييض الأسنان، سواء في العيادة أو المنزل، مما يتيح لك اختيار الخيار الأنسب وفقاً لاحتياجاتك وميزانيتك.
- تحفيز العناية بالفم: قد يشجع تبييض الأسنان الأفراد على تحسين عادات العناية بالفم، مثل التنظيف المنتظم وزيارة طبيب الأسنان.
عيوب تبييض الأسنان
- حساسية الأسنان: قد يعاني بعض الأشخاص من زيادة حساسية الأسنان بعد التبييض، مما يسبب عدم الراحة عند تناول الأطعمة الساخنة أو الباردة.
- نتائج غير دائمة: قد تحتاج إلى تكرار العلاج للحفاظ على النتائج، حيث يمكن أن تتأثر الأسنان بالعوامل الغذائية والعادات الشخصية.
- تكلفة العلاج: يمكن أن تكون بعض تقنيات التبييض، خاصة تلك التي تتم في العيادة، مكلفة، مما قد يكون عائقًا لبعض الأشخاص.
- تباين النتائج: قد لا تكون نتائج التبييض متساوية للجميع، حيث تعتمد على نوع البقع وظروف الأسنان. بعض البقع قد تحتاج إلى علاجات إضافية لتحسين المظهر.
كيفية اختيار أفضل طبيب و عيادة لتبييض الأسنان في تركيا
عندما تقرر تبييض أسنانك في تركيا، فإن اختيار الطبيب والعيادة المناسبة يعد خطوة حاسمة لضمان الحصول على نتائج رائعة وآمنة. مع تزايد عدد العيادات المتخصصة، من المهم أن تكون لديك معايير واضحة تساعدك في اتخاذ القرار الصحيح. إليك بعض النقاط الأساسية التي يجب مراعاتها عند البحث عن أفضل طبيب و عيادة لتبييض الأسنان.
معايير اختيار أفضل طبيب تبييض الأسنان
- الشهادات والخبرة: تأكد من مراجعة مؤهلات الطبيب والشهادات التي يحملها. ابحث عن عدد سنوات الخبرة وعدد حالات تبييض الأسنان التي قام بمعالجتها. الطبيب ذو الخبرة الواسعة سيكون أكثر قدرة على التعامل مع مختلف الحالات.
- الخبرة في تجميل الأسنان: يُفضل اختيار طبيب متخصص في طب الأسنان التجميلي، حيث يمتلك المعرفة والمهارات اللازمة لتقديم أفضل تقنيات تبييض الأسنان.
- السمعة وتقييمات المرضى: استعرض تقييمات وآراء المرضى السابقين. التعليقات الإيجابية والسلبية يمكن أن تعطيك فكرة واضحة عن جودة الخدمة والتجربة العامة للمرضى.
معايير اختيار أفضل عيادة تبييض الأسنان
- التكنولوجيا والأجهزة: تأكد من أن العيادة تستخدم أحدث التقنيات والأجهزة في تبييض الأسنان. استخدام التكنولوجيا المتطورة يعكس التزام العيادة بتقديم أعلى مستويات الجودة.
- الإعتمادات والشهادات: تحقق مما إذا كانت العيادة معتمدة أو حاصلة على شهادات تشير إلى التزامها بمعايير الجودة والسلامة. هذه الشهادات تعزز من مصداقية العيادة.
- المرافق: تأكد من أن مرافق العيادة نظيفة ومرتبة. بيئة مريحة تسهم في تحسين تجربة العلاج، كما أن طاقم العمل يجب أن يكون ودودًا ومتعاونًا.
- التخصص: اختر عيادات متخصصة في طب الأسنان، حيث توفر تركيزًا أكبر على الرعاية الصحية للأسنان وتبييضها، بدلاً من المراكز التي تقدم خدمات تجميلية متنوعة.

كيف يتم إجراء تبييض الأسنان في تركيا خطوة بخطوة؟
تبييض الأسنان في تركيا هو إجراء شائع يهدف إلى تحسين لون الأسنان وجعلها أكثر إشراقًا. يتم تنفيذ العملية بشكل احترافي في العيادات، وتستخدم تقنيات حديثة تضمن نتائج فعالة وآمنة. إليك الخطوات الأساسية لإجراء تبييض الأسنان في تركيا.
قبل تبييض الأسنان في تركيا
- الاستشارة الأولية: تبدأ العملية بزيارة طبيب الأسنان لإجراء استشارة أولية. يتم خلالها مناقشة أهدافك والتعرف على تاريخك الطبي، مما يساعد الطبيب في تحديد ما إذا كنت مرشحًا مناسبًا لتبييض الأسنان.
- الفحص والتنظيف: يقوم الطبيب بفحص أسنانك ولثتك للتأكد من سلامتها. إذا كانت هناك أي مشكلات، مثل التسوس أو أمراض اللثة، يجب معالجتها قبل التبييض. كما يتم تنظيف الأسنان لإزالة أي تراكمات أو بقع سطحية.
- خطة العلاج: بعد الفحص، سيقوم الطبيب بوضع خطة علاج مخصصة تتناسب مع احتياجاتك، تشمل نوع التقنية المناسبة وعدد الجلسات المطلوبة.
أثناء تبييض الأسنان بالليزر أو الزووم
- التحضير: في البداية، سيتم تحضيرك للعملية، حيث قد يقوم الطبيب بتغطية اللثة لحمايتها من مواد التبييض القوية.
- استخدام جل التبييض: يتم وضع جل تبييض خاص على الأسنان. يحتوي هذا الجل على مكونات فعالة تعمل على تفتيح لون الأسنان.
- تطبيق العلاج:
- في تبييض الأسنان بتقنية زووم: يتم تسليط ضوء خاص على الجل لتعزيز فعاليته. هذه التقنية تسمح بتحقيق نتائج ملحوظة في وقت قصير.
- في تبييض الأسنان بالليزر: يستخدم جهاز الليزر لتحفيز الجل، مما يزيد من فعاليته ويعطي نتائج سريعة.
- المدة: عادةً ما تستغرق جلسة التبييض بين 30 إلى 90 دقيقة، حسب التقنية المستخدمة.
- عدد الجلسات: قد تحتاج إلى جلسة واحدة أو عدة جلسات، حسب درجة التصبغ ونتائج الجلسة الأولى.
- الشطف والتقييم: بعد انتهاء العملية، يتم شطف الجل من الأسنان، ويقوم الطبيب بتقييم النتائج معك. يمكنك رؤية الفرق في لون الأسنان على الفور.
ما بعد تبييض الأسنان في تركيا
بعد تبييض الأسنان، قد يقدم لك الطبيب نصائح حول كيفية الحفاظ على نتائج التبييض، مثل تجنب بعض الأطعمة والمشروبات التي تسبب التصبغات، واستخدام معاجين تبييض خاصة. كما يُنصح بزيارة الطبيب بانتظام لمتابعة صحة فمك وأسنانك.
باتباع هذه الخطوات، يمكنك الاستمتاع بابتسامة مشرقة وجذابة بفضل تبييض الأسنان في تركيا.
كيف تحافظ على نتائج تبيض أسنانك لأطول فترة؟
بعد إجراء تبييض الأسنان في تركيا، من المهم اتباع بعض الإرشادات لضمان الحفاظ على النتائج وتحسين صحة فمك. إليك ما يجب معرفته بعد تبييض الأسنان:
1. تجنب الأطعمة والمشروبات الملونة
بعد التبييض، يُفضل تجنب تناول بعض الأطعمة والمشروبات التي قد تسبب تصبغات، مثل القهوة، الشاي، النبيذ الأحمر، والصوصات الداكنة. من الأفضل الانتظار لمدة 24 إلى 48 ساعة بعد العلاج قبل تناول هذه الأطعمة.
2. استخدام معاجين تبييض خاصة
قد ينصحك طبيب الأسنان باستخدام معاجين تبييض أو معاجين حساسية للمساعدة في الحفاظ على النتائج وتقليل أي حساسية قد تشعر بها بعد التبييض.
3. العناية اليومية بالأسنان
استمر في العناية الجيدة بأسنانك من خلال تنظيفها بالفرشاة مرتين يوميًا، واستخدام الخيط، وزيارة طبيب الأسنان بانتظام للفحص والتنظيف. هذه العادات تساعد في الحفاظ على صحة الأسنان وتجنب تراكم البقع.
4. مراقبة الحساسية
بعض الأشخاص قد يعانون من حساسية مؤقتة بعد التبييض. إذا كانت الحساسية مستمرة أو شديدة، يُفضل استشارة طبيب الأسنان.
5. المتابعة مع طبيب الأسنان
قم بجدولة زيارة متابعة مع طبيب الأسنان بعد فترة من التبييض لمراقبة النتائج والتأكد من أن أسنانك ولثتك في حالة جيدة.
6. التقليل من التدخين
إذا كنت مدخنًا، سيكون من المفيد تقليل التدخين أو التوقف عنه تمامًا، حيث أن التبغ يسبب تصبغات عنيدة على الأسنان.
7. تجنب العادات السيئة
تجنب العادات التي قد تؤثر سلبًا على صحة فمك، مثل قضم الأظافر أو استخدام الأسنان لفتح الأشياء.
ما هو الخيار الأفضل: تبييض الأسنان أم تلبيس الأسنان؟
عندما يتعلق الأمر بتحسين مظهر الابتسامة، فإن تبييض الأسنان وتلبيس الأسنان هما خياران شائعان، لكنهما يخدمان أغراضًا مختلفة. تبييض الأسنان يركز على تفتيح لون الأسنان وتحسين مظهرها العام، بينما تلبيس الأسنان يتضمن تغطية الأسنان التالفة أو المتضررة لتحسين شكلها ووظيفتها. لذا، يعتمد الخيار الأفضل على حالتك الفردية واحتياجاتك الخاصة.
مقارنة بين تبييض الأسنان وتلبيس الأسنان
| المعيار | تبييض الأسنان | تلبيس الأسنان |
| الهدف | تفتيح لون الأسنان | إصلاح الأسنان المتضررة أو التالفة |
| الإجراء | استخدام جل تبييض أو تقنيات مثل الليزر | وضع غلاف (تاج) على الأسنان |
| المدة | جلسة واحدة أو عدة جلسات قصيرة | عدة جلسات لتصميم وتركيب التاج |
| النتائج | نتائج سريعة، تتراوح بين عدة درجات | نتائج دائمة، تغطي مشاكل الأسنان |
| الحساسية | قد تسبب حساسية مؤقتة | لا تسبب حساسية، لكن يمكن أن تتطلب فترة تأقلم |
| التكلفة | عادةً أقل تكلفة مقارنة بالتلبيس | أكثر تكلفة بشكل عام |
| التأثير على الأسنان | لا يؤثر على بنية الأسنان الطبيعية | يتطلب إزالة جزء من الأسنان الأصلية |
| الاستدامة | تحتاج إلى تجديد بعد فترة | تدوم لسنوات طويلة مع العناية المناسبة |
| المرشحون | الأشخاص ذوو الأسنان السليمة | الأشخاص الذين لديهم أسنان تالفة أو مشوهة |
أسئلة شائعة عن تبييض الأسنان في تركيا
ما هي تكلفة تبييض الأسنان في تركيا؟
تكلفة تبييض الأسنان في تركيا تتراوح عادةً بين 100 إلى 500 دولار أمريكي، حسب التقنية المستخدمة وعيادة الأسنان.
كم تستغرق جلسة تبييض الأسنان؟
تستغرق جلسة تبييض الأسنان عادةً من 30 إلى 90 دقيقة، حسب نوع العلاج.
هل تبييض الأسنان آمن؟
نعم، تبييض الأسنان آمن عند القيام به تحت إشراف طبيب أسنان مؤهل، مع استخدام مواد معتمدة.
هل يمكنني تبييض الأسنان إذا كنت أستخدم حشوات أو تيجان؟
يمكن أن تؤثر الحشوات والتيجان على نتائج التبييض، لذا يجب استشارة الطبيب قبل البدء.
هل سأواجه حساسية بعد التبييض؟
بعض الأشخاص قد يعانون من حساسية مؤقتة بعد التبييض، لكنها عادة ما تختفي خلال أيام قليلة.
كم من الوقت تدوم نتائج التبييض؟
نتائج تبييض الأسنان يمكن أن تدوم من 6 أشهر إلى سنتين، اعتمادًا على العناية الشخصية والعادات الغذائية.
هل يمكنني تبييض أسناني في المنزل؟
نعم، هناك خيارات تبييض منزلي مثل الشرائط والقوالب، لكن النتائج قد تكون أقل فعالية مقارنة بالعلاجات في العيادة.
ما هي أفضل تقنية لتبييض الأسنان؟
تقنيات الليزر وزووم تعد من الأفضل، حيث توفر نتائج سريعة وفعالة، لكن الخيار الأفضل يعتمد على حالة أسنانك.
هل يمكنني تناول الطعام بعد تبييض الأسنان؟
يُنفضل تجنب الأطعمة والمشروبات الملونة لمدة 24 إلى 48 ساعة بعد التبييض لتجنب التصبغات.
متى يجب أن أستشير طبيب الأسنان؟
إذا كنت تعاني من حساسية شديدة، أو إذا لم تحقق النتائج المرجوة، يجب عليك استشارة طبيب الأسنان لتقييم حالتك.
إلغاء الرد
لن يتم نشر عنوان بريدك الإلكتروني. *